Schlaganfallvorsorge
Durch Vorsorge kann das Schlaganfall-Risiko verringert werden. Die beste Schlaganfallvorsorge ist die Vermeidung von Risikofaktoren. So kann durch eine Senkung erhöhter Blutdruckwerte um 6-10 mmHg das Schlaganfall-Risiko innerhalb weniger Jahre um bis zu 50% gesenkt werden.
Mit regelmäßiger körperlicher Betätigung und kochsalzarmen Mahlzeiten kann man hier schon viel erreichen. Empfehlenswert sind Wandern, Nordic Walking, Schwimmen und Rad fahren. Am wichtigsten ist aber, dass sie etwas finden, was Spass macht, nur dann bleibt man dabei. Es gilt: "Sport ist, wenn man dabei schwitzt!"
Um erhöhte Cholesterin- und Blutzuckerwerte zu vermeiden, sollte auf eine gesunde, ausgewogene Ernährung geachtet werden. Dazu gehört, weniger Nahrungsmittel mit großen Mengen an tierischen Fetten wie Wurst, Fleisch und Käse zu essen und dafür pflanzliche Fette mit einem hohen Anteil an ungesättigten Fettsäuren und Fisch zu bevorzugen.
Auch der Verzicht auf Rauchen und übermäßigen Alkoholkonsum senkt das Risiko für einen Schlaganfall.
All diese Maßnahmen zielen darauf ab, einer Schädigung und zunehmenden "Verkalkung" der Blutgefäße vorzubeugen. Lassen sich Blutdruck, Blutzucker- und Cholesterinwerte durch eine gesunde Lebensführung nicht in den Normalbereich absenken, ist eine medikamentöse Behandlung möglich. Sprechen Sie gerne mit uns, ob das bei Ihnen erforderlich ist.
Informationen zur Schlaganfallvorsorge
Im Laufe des Lebens kann es zu „Arterienverkalkung“ kommen. Dabei spielt „Kalk“ eigentlich nur eine untergeordnete Rolle. Im Endeffekt kommt es aber zu Ablagerungen in den Wänden der Gefäße. Wenn die Ablagerungen eine gewisse Ausprägung erreichen, kommt es zu Verengungen der Schlagadern. Dies kann dann tatsächlich auch zu Druchblutungsstörungen führen. Je nach Körperregion, die betroffen ist, können ganz unterschiedliche Beschwerden entstehen. Am häufigsten zu Problemen führen Verengungen der Halsarterien, der Herzkranzgefäße (mit den Folgen Herzinfarkt und Herzleistungsschwäche „Insuffizienz“) und Verengungen der Beingefäße („Schaufensterkrankheit“ oder „Raucherbein“). Wenn die Halsschlagadern betroffen sind, kann ein Schlaganfall drohen. Besonders häufig sind die vorderen Halsschlagadern („Karotisarterien“) betroffen. Wenn die Ablagerungen zu Verengungen führen, nennt man das „Karotisstenose“.
Karotisstenosen sind sehr häufig. Man nimmt an, dass etwa 6-10% der Deutschen, die älter als 60 Jahre sind, eine höhergradige Karotisstenose haben. Wenn man Patienten mit Schlaganfällen untersucht, stellt man bei bis zu einem Fünftel der Patienten eine Karotisstenose als Ursache fest. Andererseits ist aber das absolute Risiko, tatsächlich einen Schlaganfall zu bekommen, wenn eine Karotisstenose vorliegt, relativ gering und beträgt etwa als 1% pro Jahr. In Deutschland werden jedes Jahr zahlreiche Patienten mit Verengungen der Halsschlagadern ("Karotisstenosen") zur Verhinderung von Schlaganfällen operiert oder mit einem Stent versorgt, wobei die Indikation zum Eingriff in unserer Erfahrung oft allein durch den Chirurgen oder Interventionalisten gestellt wird.
Es muss aber nicht jede Karotisstenose operativ oder interventionell (mit einem Stent) behandelt werden! Dies ist nicht nur die Meinung des Neurologen, sondern wird auch in den fächerübergreifenden Leitlinien so gesehen. Im Gegenteil, ein Eingriff an einer nicht symptomatischen Halsschlagaderverengung ist in den allermeisten Fällen nicht erforderlich.
Der Nutzen eines Eingriffs hängt sehr stark vom Ausprägungsgrad der Verengung und zusätzlich vorliegenden Erkrankungen („Komorbidität“) und sogar vom Geschlecht ab. Teilweise übersteigt sogar das Risiko des Eingriffs das des Nutzens erheblich.
Die aktuell gültige Leitlinie empfiehlt, dass die Indikation für oder gegen einen Eingriff von einem auf dem Gebiet der Schlaganfall- und Gefäßmedizin erfahrenen Neurologen gestellt werden soll.
Neurologen sollen die Ärzte sein, die nach Gespräch und Untersuchung festlegen, ob vom PAtienten geklagte Symptome überhaupt mit einer Karotisstenose zusammenhängen, ob die Stensoe also "symptomatisch" oder "asymptomatisch" ist. Auch ist es notwendig, die Stenose mittels Ultraschall genau zu charakterisieren und zu klassifizieren. Hierfür empfiehlt es sich, sich von einem qualifizierten Ultraschaller untersuchen zu lassen.
Diese Untersuchungen und auch die entsprechende Beratung bieten wir Ihnen gerne an.
Bei einem Drittel der Menschen mit einem Schlagfall ist die Ursache ein aus dem Herzen in das Gehirn verschlepptes Gerinnsel.
Die häufigste Ursache dafür, dass sich im Herzen solche Gerinnsel bilden können, ist eine als "Vorhofflimmern" bekannte Herzrhythmusstörung. Vorhofflimmern ist sehr häufig, etwa 1 Mio. Bundesbürger leiden daran, die meisten von diesen Menschen merken nichts von der Herzrhythmusstörung, weshalb ihre Bedeutung immer noch vielfach unterschätzt wird.
Vorhofflimmern wird in der Regel mittels EKG diagnostiziert. Die Durchführung eines 12-Kanal EKGs ist in unserer Praxis möglich.
Wenn Vorhofflimmern vorliegt, kann durch geeignete Medikamente das Schlaganfallrisiko um 70% reduziert werden, wenig andere medizinische Maßnahmen sind derart effektiv.
Viele Menschen nutzen heutzutage "Smart watches" mit der Möglichkeit Vorhofflimmern zu detektieren. Die Algorithmen sind sogar ziemlich gut. Trotzdem muss natürlich eine solche Diagnose durch einen Arzt bestätigt werden. Das Schlaganfall Risiko kann dann anhand bestimmter Scores berechnet werden. Je nach Risiko ist dann eine differenzierte medikamentöse Behandlung wichtig.
Für die meisten Schlaganfallpatienten ist nach einem Ereignis eine Veränderung des Lebensstils notwendig.
Vielfach muss Übergewicht reduziert werden, ein Diabetes mellitus oder ein Bluthochdruck erstmals oder verstärkt medikamentös behandelt werden, das Cholesterin ist oft zu hoch und muss ebenfalls mit Medikamenten behandelt werden. Die zugeführte Kalorienmenge soll oft reduziert und das Bewegungsprogramm ausgebaut werden.Ein Nikotinkonsum muss nicht reduziert, sondern sollte unbedingt beendet werden.
Dabei ist die Einleitung der Maßnahmen nur der eine Teil des Konzepts, der Erfolg der Maßnahmen muss auch regelmäßig überprüft werden, die PatientInnen müssen dauerhaft motiviert werden.
Eine entsprechende Beratung bieten wir gerne an.
Schlaganfallnachsorge - viel mehr als nur Medikamente
im ambulanten Sektor viel zu verbessern.
Es gibt vielfältige Gründe, warum Menschen Schlaganfälle erleiden. Deswegen ist nach einem Schlaganfall eine ausführliche Ursachensuche notwendig. Diese Suche findet in der Regel im Krankenhaus direkt nach dem Ereignis statt.
Die häufigsten Einzelursachen sind verschleppte Gerinnsel aus dem Herzen, Verengungen der Hals- oder Hirnschlagadern und Verschlüsse der kleinsten Hirnarterien. Daneben kommen auch Schlagafälle vor, für die keine definitive Ursache gefunden werden konnte, und Gehirnblutungen aus unterschiedlichster Ursache vor.
Auch im ambulanten Bereich wird dann oft nicht genug Wert auf die entscheidenenden Punkte zur Risikoreduktion gelegt. Hier kann ein Gespräch mit Neurologen, die sich mit Schlaganfallversorgung gut auskennen, sehr hilfreich sein.
Hinzu kommt bisweilen, dass auch andere Dinge erheblich verändert werden müssen, z.B. weil Defizite verblieben sind, die die Wiedereingliederung in den Arbeitsprozess oder das häusliche Leben verhindern. Oft sind auch jenseits einer Rehablitationsbehandlungen weitere Therapien von Lähmungen, Sprachstörungen oder kognitiven Einschränkungen notwendig.

Weil die jeweilige Ursache des Schlaganfalls sehr unterschiedlich sein kann, ist auch das Risiko eines wiederholten Schlaganfalls und die Form der richtigen Therapie und die Notwendigkeit weiterer Nachsorgeuntersuchungen von Patient zu Patient unterschiedlich.
Für den Erfolg der Therapie ist es deswegen wichtig, dass Betroffene und Angehörige möglichst genau wissen, was im konkreten Einzelfall zum Schlaganfall geführt hat und wie die Prognose weiterer Ereignisse ist. Bei einem Schlaganfall handelt es sich um ein sogenanntes „Life-event“. Die Folgen eines Schlaganfalls sind vielschichtig. Welche Schwierigkeiten die Patienten/Patientinnen zuhause erwarten, wird oft erst nach einer akut-stationären und rehabilitativen Behandlung klar.
Die langfristige Therapie richtet sich nach der eigentlichen Ursache und den Folgen des Schlaganfalls. Zum therapeutischen Konzept gehören eine medikamentöse Therapie (z. B. "Blutverdünner", Einstellung von Risikofaktoren wie Bluthochdruck, Diabetes mellitus und erhöhte Cholesterinwerte), Heilmittel (Krankengymnastik, Ergotherapie, Logopädie, neuropsychologische Therapie) und eine adäquate Hilfsmittelversorgung.
Es tauchen im Verlauf viele Fragen auf, für die die akut-stationär zuständigen Spezialisten nicht mehr zur Verfügung stehen:
- Wann kann ich wieder arbeiten?
- Darf ich weiter Auto fahren oder verreisen?
- Wer verordnet die notwendigen Therapien?
In unserer Praxis betrachten wir es als unsere Aufgabe alle Ihre Fragen zu beantworten!
Hr. PD Dr. Ritter ist seit 2020 Mitglied der „Kommission Nachsorge“ der Deutschen Schlaganfallgesellschaft und engagiert sich dort für die langfristige Verbesserung der Behandlung von Schlaganfallbetroffenen im ambulanten Setting.
Wir bieten eine umfassende Beratung, die ausser der Besprechung der Ursachen auch Aspekte wie Hilfsmittelversorgung, Notwendigkeit weiterer Therapien und psychosoziale Betreuung umfasst.
Auch die notwendigen Nachuntersuchungen wie klinische Untersuchngen, Ultraschalluntersuchungen der hirnversorgenden Arterien oder EEG-Untersuchungen sowie spezifische Behandlungen von Spastik und Hilfsmittelverosrgung zählt zu unseren Aufgaben.

Weil die jeweilige Ursache des Schlaganfalls sehr unterschiedlich sein kann, ist auch das Risiko eines wiederholten Schlaganfalls und die Form der richtigen Therapie und die Notwendigkeit weiterer Nachsorgeuntersuchungen von Patient zu Patient unterschiedlich.
Für den Erfolg der Therapie ist es deswegen wichtig, dass Betroffene und Angehörige möglichst genau wissen, was im konkreten Einzelfall zum Schlaganfall geführt hat und wie die Prognose weiterer Ereignisse ist. Bei einem Schlaganfall handelt es sich um ein sogenanntes „Life-event“. Die Folgen eines Schlaganfalls sind vielschichtig. Welche Schwierigkeiten die Patienten/Patientinnen zuhause erwarten, wird oft erst nach einer akut-stationären und rehabilitativen Behandlung klar.
Die langfristige Therapie richtet sich nach der eigentlichen Ursache und den Folgen des Schlaganfalls. Zum therapeutischen Konzept gehören eine medikamentöse Therapie (z. B. "Blutverdünner", Einstellung von Risikofaktoren wie Bluthochdruck, Diabetes mellitus und erhöhte Cholesterinwerte), Heilmittel (Krankengymnastik, Ergotherapie, Logopädie, neuropsychologische Therapie) und eine adäquate Hilfsmittelversorgung.
Es tauchen im Verlauf viele Fragen auf, für die die akut-stationär zuständigen Spezialisten nicht mehr zur Verfügung stehen:
- Wann kann ich wieder arbeiten?
- Darf ich weiter Auto fahren oder verreisen?
- Wer verordnet die notwendigen Therapien?
In unserer Praxis betrachten wir es als unsere Aufgabe alle Ihre Fragen zu beantworten!
Hr. PD Dr. Ritter ist seit 2020 Mitglied der „Kommission Nachsorge“ der Deutschen Schlaganfallgesellschaft und engagiert sich dort für die langfristige Verbesserung der Behandlung von Schlaganfallbetroffenen im ambulanten Setting.
Wir bieten eine umfassende Beratung, die ausser der Besprechung der Ursachen auch Aspekte wie Hilfsmittelversorgung, Notwendigkeit weiterer Therapien und psychosoziale Betreuung umfasst.
Auch die notwendigen Nachuntersuchungen wie klinische Untersuchngen, Ultraschalluntersuchungen der hirnversorgenden Arterien oder EEG-Untersuchungen sowie spezifische Behandlungen von Spastik und Hilfsmittelverosrgung zählt zu unseren Aufgaben.
Informationen zur Schlaganfallnachsorge
Bei einem Drittel der Menschen mit einem Schlagfall ist die Ursache ein aus dem Herzen in das Gehirn verschlepptes Gerinnsel. Die häufigste Ursache dafür, dass sich im Herzen solche Gerinnsel bilden können ist eine als Vorhofflimmern bekannte Herzrhythmusstörung. Vorhofflimmern ist sehr häufig, etwa 1 Mio. Bundesbürger leiden daran, die meisten von diesen Menschen merken nichts von der Herzrhythmusstörung, weshalb ihre Bedeutung immer noch vielfach unterschätzt wird. Wenn Vorhofflimmern vorliegt, kann durch geeignete Medikamente das Schlaganfallrisiko um 70% reduziert werden, wenig andere meidzinische Maßnahmen sind derart effektiv.
Für die meisten Schlaganfallpatienten ist nach einem Schlaganfall eine Veränderung des Lebensstils notwendig.
Vielfach muss Übergewicht reduziert werden, ein Diabetes oder ein Bluthochdruck erstmals oder verstärkt medikamentös behandelt werden, der Cholesterinspiegel ist oft zu hoch und muss ebenfalls gesenkt werden. Die zugeführte Kalorienmenge muss reduziert und das Bewegungsprogramm ausgebaut werden.
Ein Nikotinkonsum muss nicht reduziert sondern beendet werden. Dabei ist die Einleitung der Massnahmen nur der eine Teil des Konzepts, der Erfolg der Massnahmen muss auch regelmäßig überprüft werden, die Patienten müssen dauerhaft motiviert werden.
Eine entsprechende Beratung bieten wir in unserer Schlaganfallsprechstunde.
Es gibt ihn: den schicksalhaften Schlaganfall. Trotz ausführlicher stationärer Diagnostik und wiederholter Prüfung findet sich keine wirklich plausible Ursache für den erlittenen Schlaganfall.
Die Patienten fühlen sich stark verunsichert, obwohl sie statistisch das geringste Wiederholungsrisiko von allen Gruppen haben, nämlich weniger als 2% pro Jahr.
In unserer Schlagfallsprechstunde beraten wir sie, ob ihr Schlaganfall "kryptogen" war oder ob zur sicheren Ursachenfestlegung möglicherweise noch ergänzende Verfahren notwendig sind.
Insbesondere finden sich im Verlauf doch bei einer nicht zu vernachlässigenden Anzahl von Patienten selten auftretende Herzrhythmusstörungen, die Schlaganfälle verursachen können.

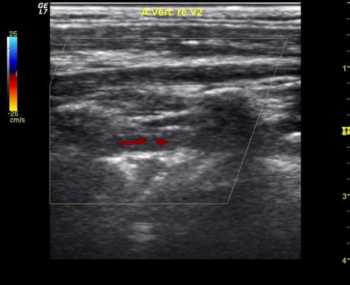
Ultraschallaufnahme einer Dissektion der Arteria vertebralis im Halsbereich
Dissektionen der Halsarterien entstehen meist ohne eine relevante mechanische Ausseneinwirkung!
Patienten mit Dissektionen können praktisch nie über eine Verletzung berichten, die aussergewöhnlich im Vergleich zum sonstigen Leben ist. Angenommene Traumata reichen vom Schulterblick beim Autofahren über Hüpfen auf einem Bein bis zum Trompetespielen. Zwar sind hier mechanische Belastungen der Halsorgane nachweisbar, aber alle Patienten haben die gleiche Bewegung bereits tausende Male zuvor durchgeführt, ohne eine Dissektion zu erleiden. Deswegen tut sich die Wissenschaft auch sehr schwer in der Anerkennung eines “Traumas” insbesondere eines "Bagatelltraumas" als Dissektionsursache.
Als klassische mechanische Ursachen kommen eigentlich nur Hochrasanztraumata (Verkehrsunfälle bei hoher Geschwindigkeit), Strangulationsverletzungen oder Waffengewalt in Betracht!
Heftig diskutiert wird auch die Frage, ob nicht Einrenkmanöver der Halswirbelsäule eine Dissektion auslösen können. Die Frage ist schwer zu beantworten, weil spontane Dissektionen typischerweise zu Hals- und Nackenbeschwerden führen können, welche letztlich sehr gut der Grund für einen Besuch beim Chiropraktiker sein können. Die Dissektion liegt also in den meisten Fällen wahrscheinlich bereits vor dem Einrenkmanöver vor.
Letztlich ist noch nicht bekannt, wie es zu den spontanen Dissektionen kommt. Es gibt eine Häufung in der kalten Jahreszeit, erheblich mehr Menschen können in den Tagen vor einer Dissektion von einem grippalen Infekt als von einem Nackentrauma berichten.
Die Diagnose einer Dissektion ist bisweilen schwierig. Eine sorgfältige Untersuchung, Ultraschalluntersuchungen der Halsschlagadern und Kernspintomographien oder Computertomographien können eine Dissektion beweisen.
Dissektionen sind unter den nachgewiesene Ursachen für Schlaganfälle bei Menschen <50 Jahren mit am häufigsten. Dissektionen führen aber nicht immer zum Schlaganfall, die Dunkelzuiffer nicht erkannter asymptomatischer Dissektionen ist vermutlich recht hoch.
Jeder dritte Mensch hat ein kleines "Loch im Herzen"! Dieses Loch heisst PFO oder "offenes Foramen ovale".
Es stellt beim ungeborenen Menschen sicher, dass das nährstoffreiche Blut von der Plazenta direkt die wichtigen Organe erreicht und nicht zuerst durch die Lunge geleitet wird, welche im Mutterleib ja noch keine Funktion hat.
Nach der Geburt verschliesst sich dieses Loch bei 2/3 der Menschen. Bei den anderen bleibt es offen, sodass geringe Mengen Blut während der Herzaktion an der Lunge vorbeigeleitet werden können.
Immer wieder wird heftig diskutiert, ob sich durch dieses kleine Loch Blutgerinnsel zwängen können, die dann zu einem Schlaganfall führen.
Teilweise wird den Patienten auch geraten, sich dieses Loch verschliessen zu lassen.
Wenn bei Ihnen ein PFO diagnostiziert wurde und sie Beratung bzgl. ihres Schlaganbfallrisikos wünschen, melden sie sich.
Der Begriff „klinisch stumm“ bedeutet, dass der Patient für Schlaganfälle, die in einer Bildgebung des Gehirns (beispielsweise CT oder Kernspintomographie) oft zufällig entdeckt werden, keine entsprechenden Schlagfallsymptome wie Lähmungen oder Gefühlsstörungen in der Vergangenheit erinnert.
Klinisch stumme Schlaganfälle werden im Zuge immer häufiger und aufgrundverfeinerter Bildgebungsverfahren zunehmend entdeckt. Langfristig rufen stumme Hirninfarkte aber oft erhebliche kognitive Störungen und andere Beschwerden hervor, die von der klassischen Definition des Schlaganfalls nicht erfasst werden. Dies können Schwindel, eine auftretende Gangstörung oder eine allgemeine Verlangsamung sein. Die Erfassung, ob die Schlaganfälle wirklich als "klinisch stumm" zu bezeichnen sind und welche Bedeutung die Diagnose im Einzelfall hat erfordert eine umfassende Beratung.
Fast jeder dritte Patient mit einem Schlaganfall hat nach dem Ereignis Probleme, in seinem bisherigen Umfeld wieder Fuß zu fassen und sein gewohntes Leben wieder in die Hand zu nehmen.
Interessanterweise spielt dabei die Schwere der verbliebenen Defizite nur eine untergeordnete Rolle.
Besonders betroffen scheinen eher junge Schlaganfallpatienten zu sein, bei denen die Ursache des Schlaganfalls nicht geklärt werden konnte.
Wir bieten eine erkenntnisbasierte Aufarbeitung der Ereignisse, die oft hilft die "Gefühlte Gefährdung" und die tatsächliche Gefährung abzugleichen und Lösungswege aufzuzeigen.
Im Einzelfall kann die Störung so stark sein, dass auch eine angstlösende oder depressionsmindernde Therapie notwendig wird.
Nach einem Schlagfall kann es zu bleibenden Lähmungen kommen, die sich nicht zurückbilden. Diese Lähmungen führen zu weiteren Problemen.
Meist ist die Muskulatur vermehrt angespannt ("Spastische Lähmung") und kann auch passiv nur mit großen Schwierigkeiten bewegt werden.
Dies wiederum fürt zu Schwierigkeiten bei der Körperpflege, dem An- und Auskleiden und der allgemeinen Beweglichkeit. Darüber hinaus sind spastische Lähmungen oft auch stark schmerzhaft.
Im Einzelfall ist hier eine Therapie mit Botulinumtoxin sehr hilfreich.
Junge Menschen, ja sogar Kinder, können Schlagafälle erleiden! In Deutschland sind etwa 5% aller Menschen mit einem Schlaganfall 40 Jahre oder jünger.
Das heißt nichts anderes als das jedes Jahr 10.000 junge Menschen in Deutschland einen Schlagfall erleiden!
Bei diesen Menschen spielen die klassischen Risikofaktoren fast keine Rolle, oft kann trotz sorgfältiger Untersuchung keine Ursache gefunden werden.
Verständlicherweise haben diese Patienten große Schwierigkeiten, sich in ihrem alten Leben zurecht zu finden und ihre Krankheit zu verarbeiten.
Wenn sie oder ein Angehöriger als junger Mensch einen Schlaganfall erlitten haben/hat beraten wir sie gerne.
Wie kommt man nach einem Schlaganfall wieder ins Leben?
Die Versorgung von Patienten, die nach einem Schlaganfall wieder ins Leben zurückfinden wollen, ist in Deutschland bislang völlig unzureichend gesichert. Erste Anlaufstation nach einem derartigen Lebensereignis sind in der Regel die Hausärzte, die aber aufgrund der Komplexität der verschiedenen Anforderungen (medikamentöse Therapie, weitere / erneute / erstmalige Rehabilitation, Einschätzung des Heil- und Hilfsmittelbedarfs und deren Verordnung, Einschätzung der Prognosen für beruflichen Wiedereintritt, Erfordernisse häuslicher Umbaumassnahmen, Betreuungsangelegenheiten, Schwerbehinderung, Spastikbehandlung, Depressionsbehandlung, etc.) teilweise überfordert sind.
Nur ein Bruchteil der Patienten wird nach Schlaganfällen regelmäßig in neurologischen Praxen gesehen, was auch mit mangelnder Verfügbarkeit von Terminen im nervenärztlichen Bereich zu tun hat.